残された歯を守るために
歯周病の原因は解明されています。
つまり、治療も予防もできるということです。
しっかり治して、ご自身の歯を守りましょう。
- 重度の歯周病を治療する「骨再生療法」
- 歯科恐怖症の方にお勧め「睡眠無痛治療」

歯周病の原因は解明されています。
つまり、治療も予防もできるということです。
しっかり治して、ご自身の歯を守りましょう。











このページをご覧になっている方は、おそらく歯周病に関するお悩みの解決方法をお探しなのだと思います。
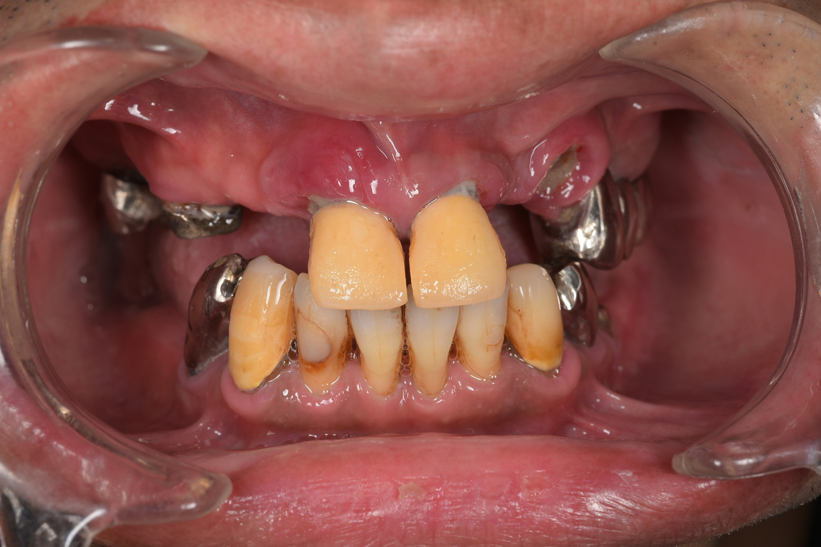
きっと、こうしている今も、歯周病が進行してグラグラしている歯があるのではないでしょうか。
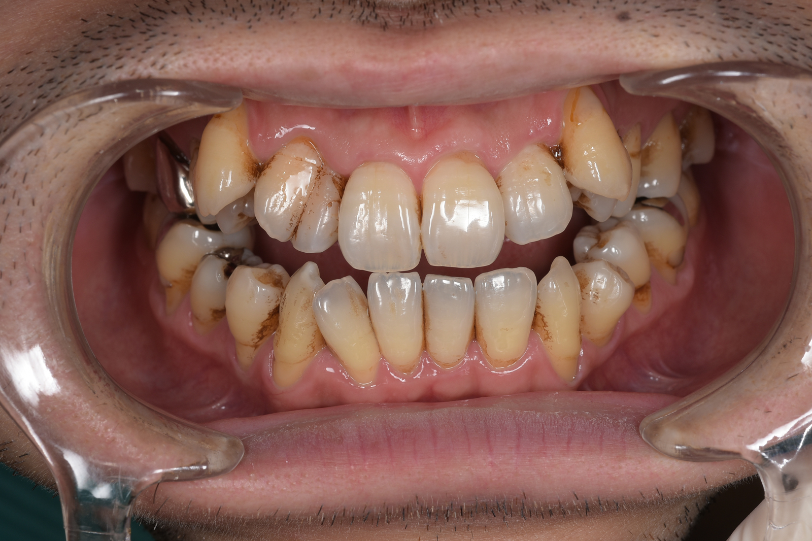
皆さんもご存じかと思いますが、歯周病は、歯を支える骨をゆっくり溶かしていき、痛くもないのに歯が抜けていくという恐ろしい病気です。
しかし、心配は無用です。歯周病の原因とそのメカニズムは明らかになっており、早期に治療すれば歯を失わずに済みます。
今からでも遅くはありません。残された歯を守るために、一緒に治療をしていきましょう。
以下、当院の歯周病治療について詳しく紹介します。

歯周病で歯が抜けてしまうのは、骨を支えている骨が溶けてしまうからです。骨を再生できれば、歯を残せる可能性が高まります。当院では、「エムドゲイン」という薬品を使って、骨の再生に取り組みます。
※症例によっては適応できず抜歯を避けられないこともあります。
エムドゲインは、特殊なたんぱく質を含む薬品です。患部を切開し、骨が失われた部分にエムドゲインを入れると、骨の再生が促進されます。個人差はありますが、数ヶ月〜1年程度で骨が再生されます。
次の動画は、エムドゲインが骨を再生させる様子がわかります。
重度に進行した歯周病を治療するには、外科処置が必要になることがあります。特に歯医者嫌いの方にとっては、外科処置は大きなストレスになります。
そこで当院では、患者さんのストレスを軽減するために「睡眠無痛治療(静脈内鎮静法)」という治療を行っています。

睡眠無痛治療では、鎮静剤を点滴で投与します。患者さんはほぼ眠った状態のまま治療を受けられるので、痛みや不快感はまったくなく、気がついたときには治療が終わっています。
歯科恐怖症の方だけでなく、お口にものが入ると気分が悪くなってしまう「嘔吐反射」の強い方にもお勧めの治療法です。
歯周病は、目には見えない歯茎の中で進行していきます。虫歯の痛みのような、わかりやすい自覚症状もないので、歯周病がどの程度進んでいるかは、しっかり検査しないとわかりません。
当院では、次のような検査でお口の状態を確認します。

歯周病が進むと、あごの骨が溶けてしまいます。骨の様子を確かめるため、当院では「CT」を使ったX線検査を行います。
多くの歯科医院では、レントゲンを使ってX線検査を行いますが、2次元の影像を撮影するレントゲンでは、詳しい状態を把握するには限界があります。
CTは、お口の周囲を360度回転しながら撮影するので、鮮明で立体的な影像が得られ、レントゲンよりも精度の高い診断が可能になります。

歯周病が進行すると、歯の周囲にある「歯周ポケット」が深くなっていきます。健康な歯の歯周ポケットは1〜2mmですが、3〜4mmになってくると歯周病が疑われます。

一言で「歯周病菌」といっても、さまざまな種類の細菌があり、効果的な治療方法は細菌によって異なります。
原因菌を特定するため、当院では「位相差顕微鏡」を使って細菌検査を行います。位相差顕微鏡は、生きたままの細菌を観察でき、原因菌の特定に役立ちます。

口臭の原因の多くは、歯周病菌が放出するガスです。当院では「ツインブレーザー」という口臭測定器を用意しています。ツインブレーザーで口臭を検査することで、お口の中でどんな細菌が悪さをしているかを調べられます。

歯周病の原因菌によっては、「ジスロマック」をはじめとする抗生物質が効くことがあります。細菌検査の結果に応じて、お薬を処方します。

殺菌剤を入れたマウスピースをお口に装着し、一気に除菌していきます。

お口の中の細菌を死滅させるため、「殺菌水」を利用します。
通常のうがいなどにも殺菌水を用いますが、治療中に流す水にも利用します。

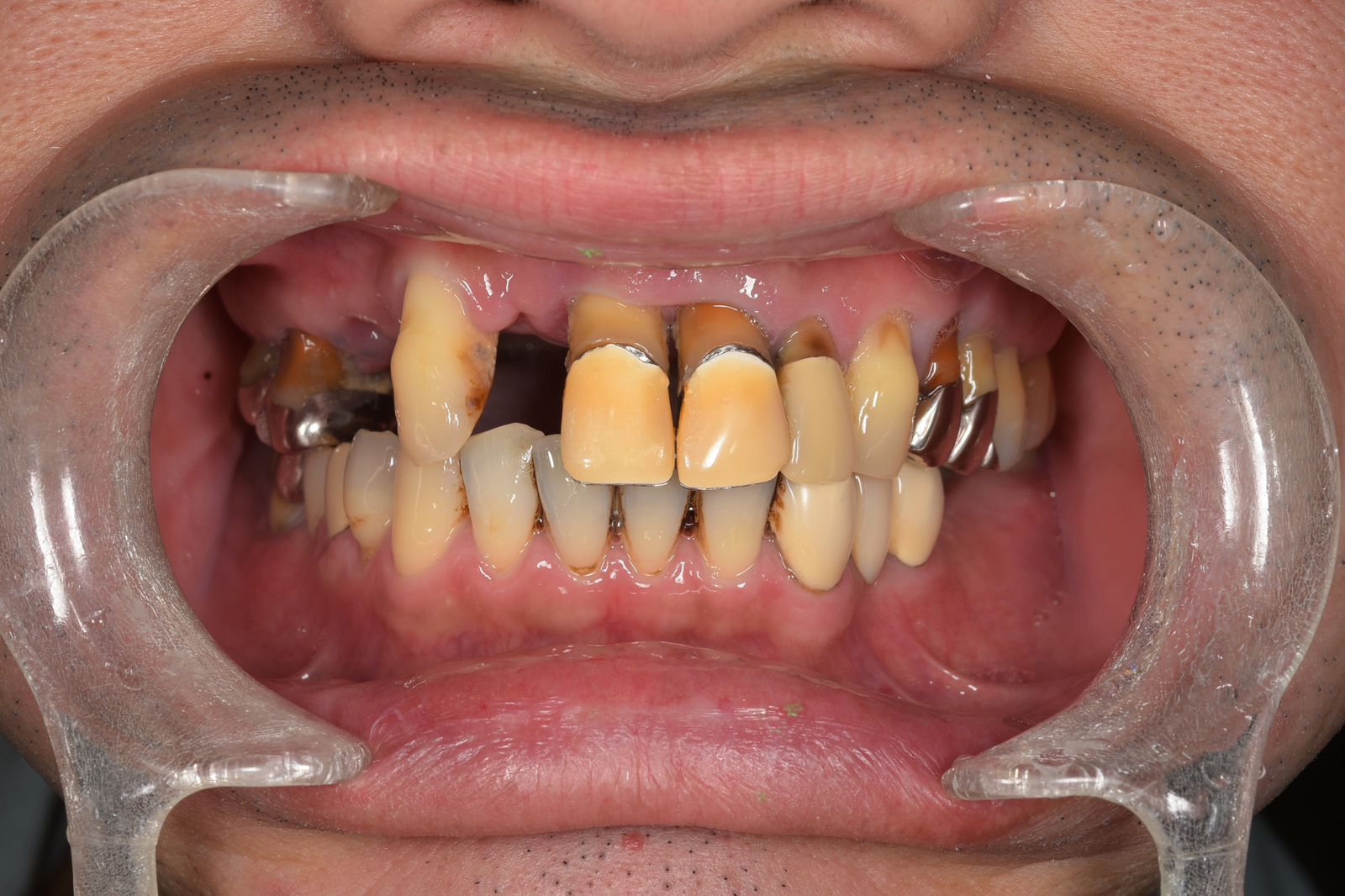
病状が進んで歯周ポケットが深くなってくると、治療器具が届かなくなり、通常の方法では歯石を取り除けなくなります。このような場合、外科的に歯肉を切開して歯石を取り除く「歯周外科治療」を行います。
歯肉を切り開いて、奥深くの歯石を取り除く治療法です。直接目で見ながら歯石を取り除くので、取り残しがほとんどありません。


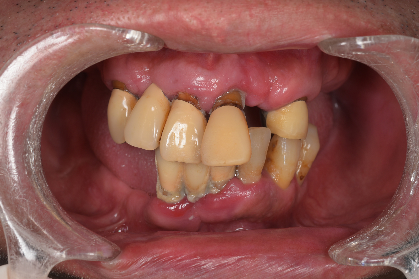
奥歯の根はいくつかに分かれています。歯周病が進行して奥歯を支える骨が溶けてくると、歯の根の分かれ目が露出してしまいます。ここに歯石が付着すると、通常の方法では取り除けません。放置していると歯周病は進行し、やがて抜歯になってしまうでしょう。
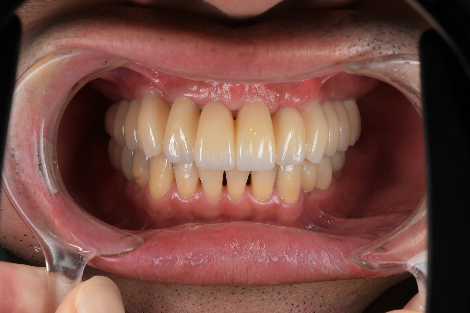
こういった症例に効果的な治療法が、ルートセパレーションです。歯を2〜3に分割して掃除しやすくした上で、かぶせ物を装着して見た目や機能を回復させます。
当院では、患者さんが抱えていらっしゃるお口のお悩みや疑問・不安などにお応えする機会を設けております。どんなことでも構いませんので、私たちにお話ししていただけたらと思います。
ご興味がある方は下記からお問い合わせください。