「インプラント」を検討している方へ

お電話でのお問い合わせ

082-879-2233

JR「古市橋」駅から徒歩1分

広島インターから約5分 駐車場完備

  • WEB予約
  • MAIL相談
キービジュアル

インプラント歴20年/5,000本以上の実績

患者さんへ負担の少ない
インプラント治療
4Sコンセプト

画像
  • 「Short」短い治療期間
  • 「Simple」シンプルな術式
  • 「Small」患者さんの負担軽減
  • 「Safe」安全な手術

海外からも患者さんが
来院される歯医者です

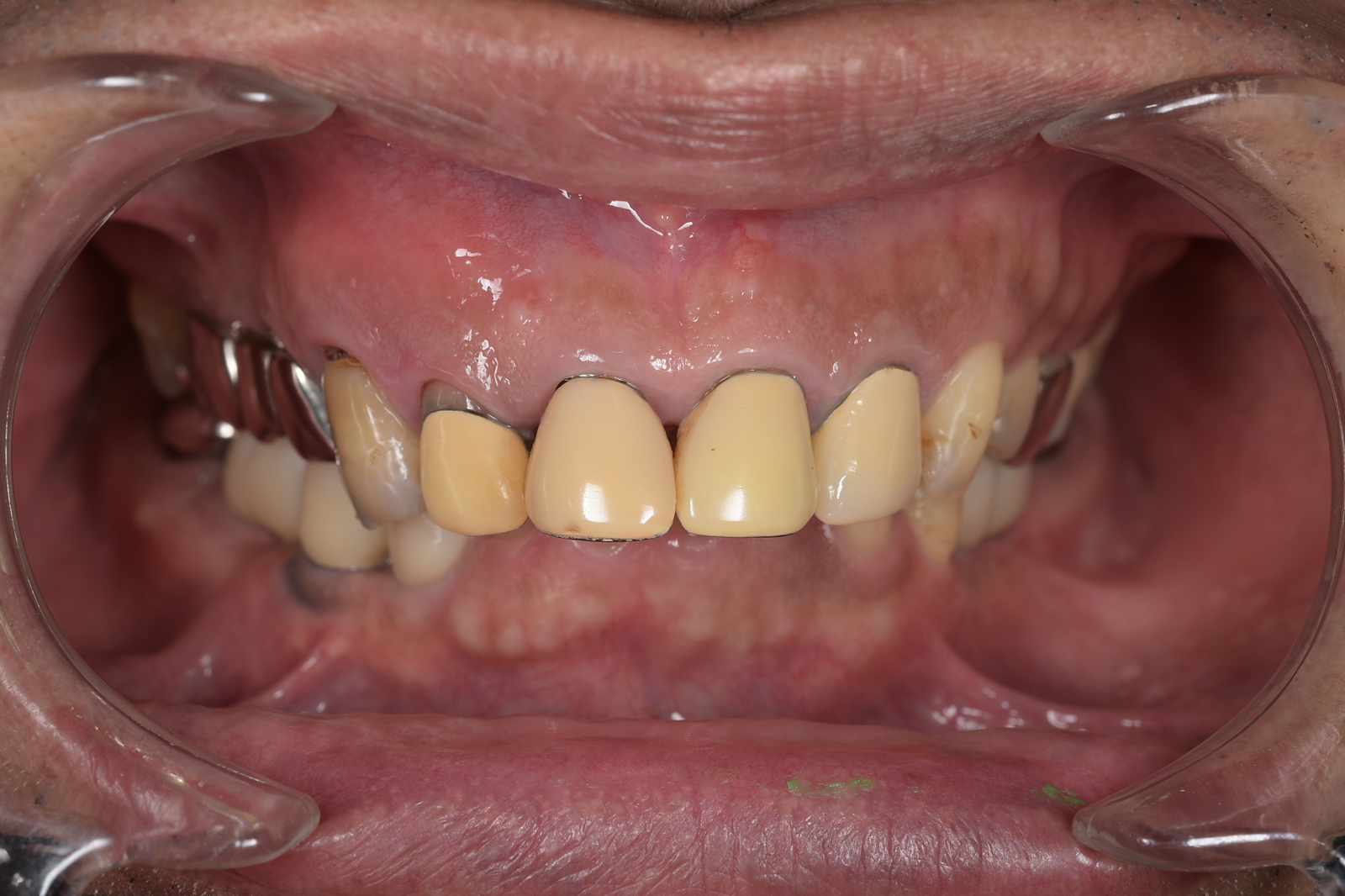
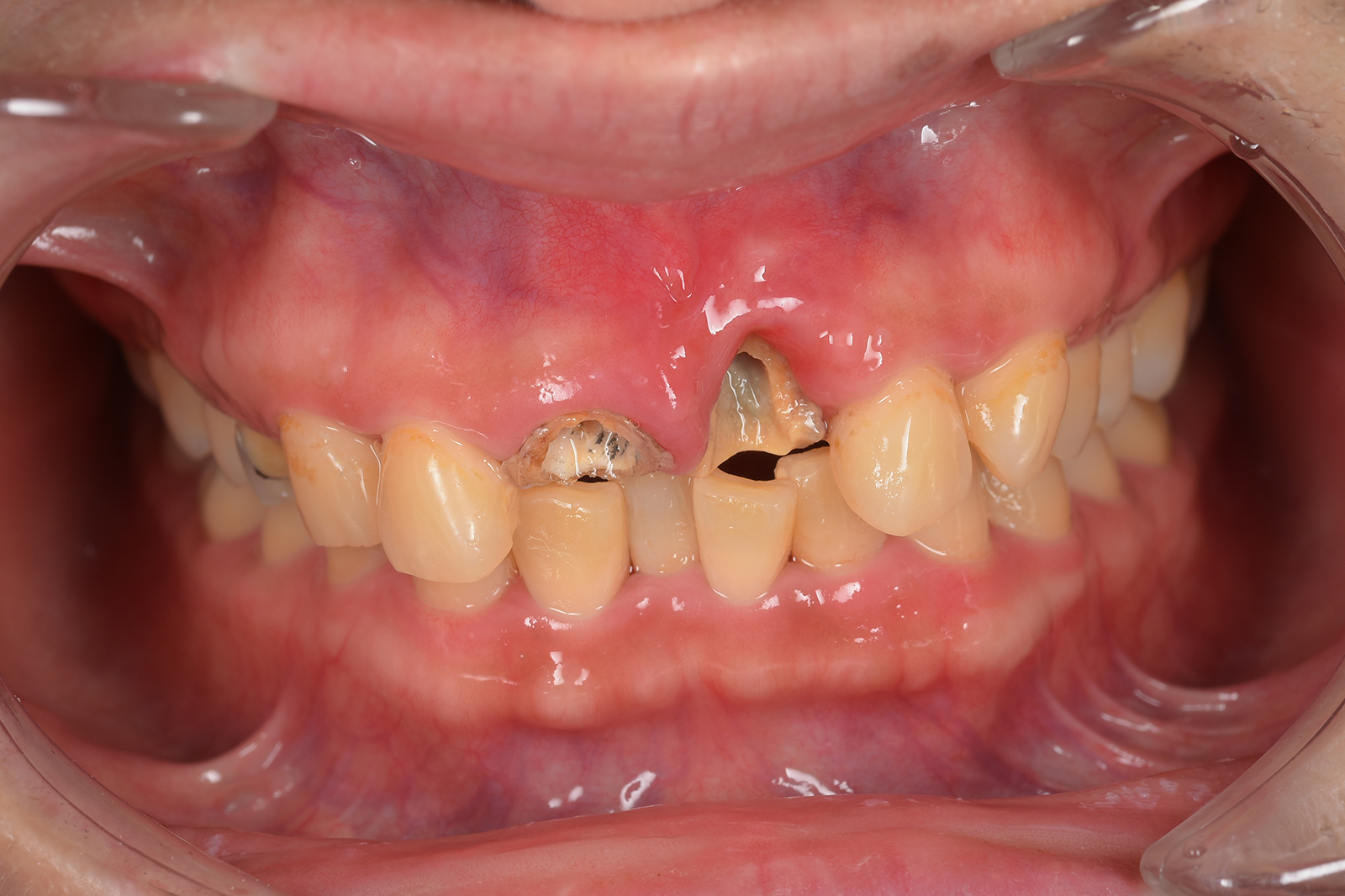
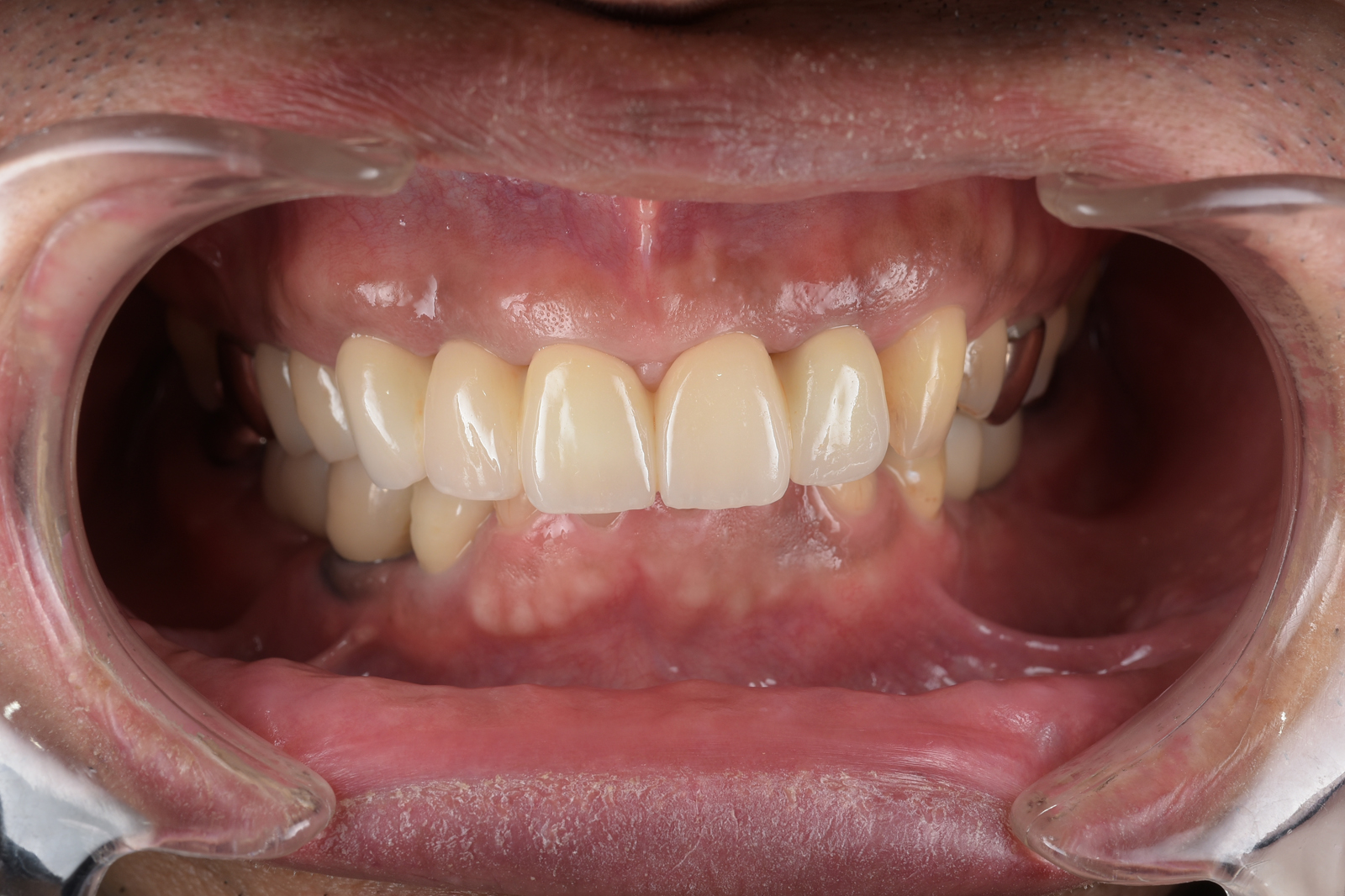
  • 治療前
  • 治療後

上あごの前歯をインプラントで補った症例。

  • 治療前
  • 治療後

上あごの右奥歯をインプラントで補った症例。

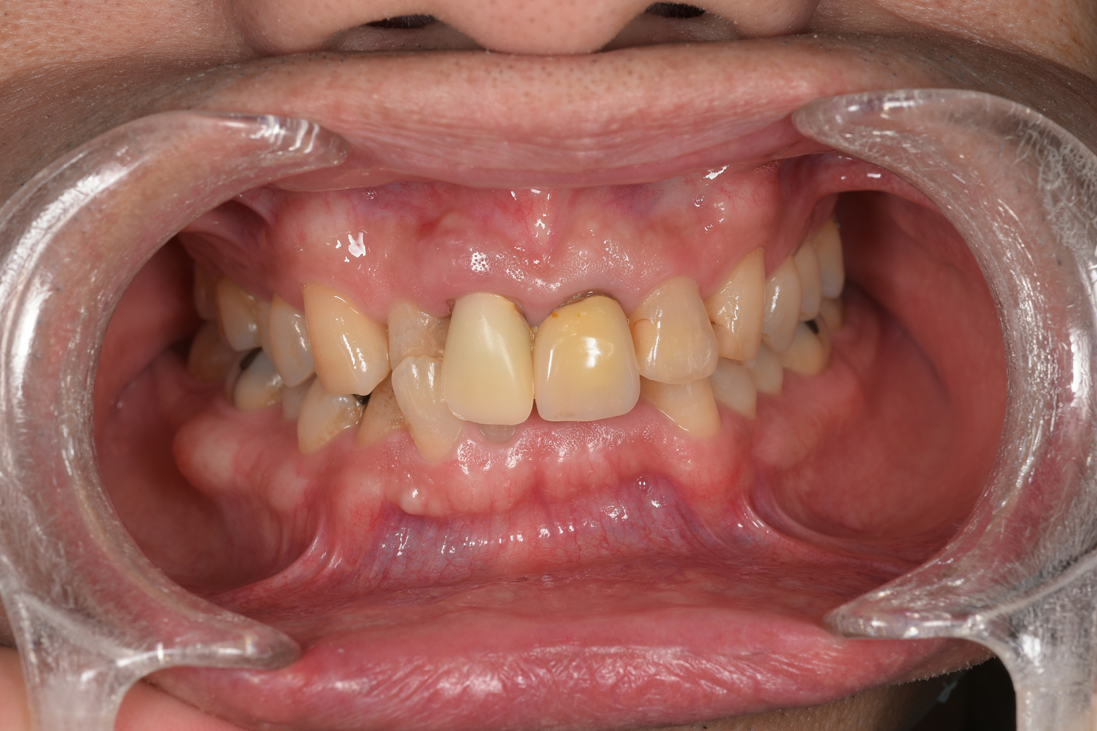
  • 治療前
  • 治療後

上あごの前歯をインプラントで補った症例。

  • 治療前
  • 治療後

上あごの前歯をインプラントで補った症例。

  • 治療前
  • 治療後

上あごの前歯などをインプラントで補った症例。

  • 治療前
  • 治療後

上あごの前歯をインプラントで補った症例。

  • 治療前
  • 治療後

上あごを「オールオン6」。下あごを「インプラントオーバーデンチャー」で補った症例。

「インプラント」治療をご検討中の方へ

画像

虫歯などで失ってしまった歯を補う治療法には、以下の3つがあります。

  • 入れ歯
  • ブリッジ
  • インプラント

この中で「入れ歯」や「ブリッジ」は、他の健康な歯の支えが必要となります。そのため、長年使っているうちに支えている歯に負担がかかってしまい、結果的に「抜歯」となってしまうケースが多くあります。

当院はどの治療法にも対応していますが、「健康な歯を守る」という点でお勧めできる治療法は、「インプラント」になります。

このページをご覧になっている方の多くは、ご自身の歯の大部分がボロボロになっている状態で、どうにか解決できる方法がないかと探しているところではないでしょうか。

しかし、失った多くの歯をすべて「インプラント」治療で補おうとすると、かなりの時間と費用がかかってしまいます。

川添歯科クリニックでは「インプラント」の本数を抑えつつ、すべての歯を入れる「All-on-4(オールオンフォー)」といった治療方法にも対応しています。

川添歯科クリニックのインプラント治療「7つの特徴」

患者さんの負担を軽減する「4Sコンセプト」

画像

4Sコンセプト」は、患者さんの身体に負担をかけない、「低侵襲」なインプラント治療の術式です。「Short」「Simple」「Small」「Safe」の4つの「S」が名前の由来で、それぞれ次のような意味があります。

【Short】短期間で治療が終わる

画像

通常の術式では1年ほどかかる治療期間が、最短で2ヶ月半程度で終わります。手術当日に仮歯が入る抜歯即時荷重」という治療を行うので、患者さんの生活の質(Quality Of Life)を落としません。

【Simple】シンプルな術式

画像

骨造成など、時間が掛かる複雑な術式は必要のない限り行いません。一般的には、あごの骨が痩せていると、骨を増やす「骨造成」が必要になりますが、「4Sコンセプト」では、骨の状態に応じて短いインプラントや幅広のインプラントを使い、骨造成をすることなくインプラントを埋入します。
※患者さんのお口の状態によっては、「骨造成」を行います。

【Small】身体への負担が小さい治療法

画像

「4Sコンセプト」では、患者さんの身体への負担が小さい治療法を採用しています。手術の際には、歯茎を切開しない術式で行います。また、抜歯した後の穴にインプラントを入れるため、骨に穴を開ける必要がなく、手術後の痛みや腫れが軽減されます。

【Safe】安全な手術

画像

CTによる精密な検査や、コンピュータによるシミュレーション、ガイドを使ったインプラント埋入術など、人為的なミスが起こるリスクを可能な限り排除した術式で、インプラント埋入手術を行います。

「コンピュータインプラント」で人為的ミスを最小限に

当院では「コンピュータインプラント」を導入しています。「CT」や「コンピュータシミュレーション」などを活用することで、より正確で安全にインプラントの手術が行えます。

執刀医の経験やセンスだけに頼るのではなく、機器による正確なデータに基づく施術で、人為的なミスが起こるリスクを限りなくゼロに抑えられるのです。

画像
画像

インプラントを埋入する、あごの骨の厚さ、神経や血管の正確な位置は「CT」でわかります。このデータをもとに、インプラントを入れる位置や方向、深さ、そして適切なインプラントのサイズまでも、専用の「シミュレーションソフト」が導き出します。

画像

実際のインプラント手術は担当執刀医、つまり人の手で行われます。万が一でも、手元が狂ってしまうというリスクを回避するため、必要に応じて当院では「ガイド」を使用して手術を行います。

「ガイド」とは「シミュレーションソフト」が導き出した、理想のインプラント埋入位置をかたどった専用マウスピースのようなものです。インプラント手術の際は、この「ガイド」に従ってインプラントを埋め込み、人為的なミスが起きないようにしているのです。

身体への負担を抑える「インプラント手術」

画像

一般的なインプラントの治療には外科処置が伴うため、どうしても「怖い」「痛い」「腫れる」「時間がかかる」ことがあります。
当院では、これらの欠点を克服した、「切らない」「縫わない」「腫れない」「短時間で終わる」術式「フラップレス」を行っています。

画像

インプラントの一般的な術式では、歯茎を切開してインプラントを埋入します。そのため、処置後の縫合が必須となり、必然的に時間もかかります。これに対して「フラップレス治療」は歯茎の切開をしません。縫合の必要もなく、治療後の痛みや腫れを最小限にできるのです。

「一般的な術式」と「フラップレス」の比較

一般的な術式

画像

フラップレス

画像

歯茎の切開

必要

不要

処置後の縫合

必要

不要

痛み

ある

少ない

腫れ

ある

少ない

処置時間

比較的長い

1本につき10分程度

たくさんの歯を失った方のための選択肢 「All-on-4」

画像

All-on-4(オールオンフォー)」とは、上顎・下顎それぞれに4~6本のインプラントを埋め込んで、すべての歯を支えるという治療法です。

たくさんの歯を失った方がすべての歯をインプラントで補おうとすると、どうしても費用がかさんでしまいます。

しかし、この「All-on-4」という治療法なら、上下の顎を合わせてもインプラントの本数は8~12本で済むため、経済的な負担、そして身体への負担も軽減されます。

さらに、手術を行なった日にすべての歯が入るというのも「All-on-4」の大きな特長です。

画像

うとうとしている間に手術が終わる「睡眠無痛治療」

画像

当院では「睡眠無痛治療(静脈内鎮静法)」という治療法に対応しています。点滴で鎮静剤を入れることで、患者さんは半分眠ったような状態になり、この間にインプラントを入れる手術を行います。患者さんは、手術中の痛みを感じないのはもちろん、恐怖を感じることもありません。「睡眠無痛治療」を受けた方のほとんどが「気がついたら治療が終わっていた」とおっしゃっています。

歯科恐怖症の方、嘔吐反射が強い方にもおすすめの麻酔方法です。全身麻酔とは違って身体への負担も少ないので、ご安心ください。ただし、手術の当日は、自動車やバイクなどの運転はお控えください。

「世界トップブランド」のインプラント

インプラントのメーカーは、国内外合わせて150~200社にもなるといわれています。その中でも当院は、歯科医師から高い評価を受けている「ストローマン」「ジンヴィ」の3社のインプラントを使用しています。

ジンヴィ

画像

かつて「ZIMMER」という社名で知られていたインプラントメーカーで、アメリカでトップシェアを誇ります。インプラントの表面に特殊なコーティングを施し、骨との結合を促進しています。

ストローマン

画像

世界シェアNo.1のインプラントメーカーです。
スイス・ベルン大学が行った臨床研究によると、ストローマン社のインプラント手術の成功率は約97%、残存率が約98%と高い信頼性が証明されています。

精度の高い治療を支える「オペ室」と「精密機器」

当院のオペ室と数々の精密機器が、高精度のインプラント治療を支えています。以下、詳しくご紹介します。

オペ室

画像

通常の診療室よりも感染を防ぐ設計になっていて、手術の安全性を高めます。もちろん執刀医、補助者も感染対策をしっかり行っています。

CT

画像

あごの骨の形状、神経や血管の位置などを立体的に把握できます。当院で「フラップレス(無切開)治療」が可能なのは、「CT」を活用し、お口の中の状況が詳細にわかるためです。

コンピュータ

画像

専用の「シミュレーションソフト」を使って治療プランを作成します。そうすることで、安全なインプラント手術が実現します。

マイクロスコープ/高倍率ルーペ

画像

歯科専用の「マイクロスコープ(顕微鏡)」や「高倍率ルーペ(拡大鏡)」で患部を何倍にも拡大して見られるため、治療精度が飛躍的に向上します。

ピエゾサージェリー

画像

骨を増やす「骨造成」治療を行う際に「ピエゾサージェリー」と呼ばれる機器を活用しています。あごの骨が少ない患者さんの場合、骨量を増やしたい部分の歯肉を切開し、自家骨(自分の骨)や骨を増やす薬品を詰めます。「ピエゾサージェリー」は骨などの「硬い組織のみ」に反応して超音波で切削できるので、歯茎や血管を傷つけずに「骨造成」を行えます。音や振動が少ないうえ、治療後の痛みが少ないというメリットもあります。

メディフュージ

画像

患者さんご自身の血液から「CGF」を作る機械です。「CGF」とは自分の血液から生成される「フィブリンゲル」を用いた治療法です。「フィブリンゲル」には成長因子が豊富に含まれているため、骨や歯肉の再生のほか、痛みの軽減、回復を早めます。また、100%自分の血液から作られる成分なので、アレルギーや拒絶反応などのリスクはありません。

コラム他の歯科医院で入れたインプラントも診察します

画像

インプラント治療を行ったもののうまく行かず、次のようなご相談を受けることがあります。

  • インプラント治療後、歯肉が腫れた
  • インプラントがグラグラしてきた
  • インプラントを入れたところの歯茎が下がってきた
  • 人口歯(上部構造)が壊れている

川添歯科クリニックでは、他の歯科医院で治療したインプラントについてのご相談も受け付けています。
お悩みの方は、お気軽にご相談ください。

初診「個別」相談へのご案内

当院では、患者さんが抱えていらっしゃるお口のお悩みや疑問・不安などにお応えする機会を設けております。どんなことでも構いませんので、私たちにお話ししていただけたらと思います。
ご興味がある方は下記からお問い合わせください。

JR「古市橋」駅から徒歩1

広島インターから約5
駐車場完備

お電話でのお問い合わせ

082-879-2233
  • WEB予約
  • MAIL相談