「古市橋」駅から徒歩1分
専用駐車場完備
平日〜土曜日まで毎日診療 ※水・土曜日は午前中のみ
「バリアフリー」 (車椅子/ベビーカーOK)


当院へお越しいただく患者様は、
皆さん、上記のような悩みを抱えていました。
あなたはいかがですか?
自分の歯を取り戻すことを諦めてはいけません。
必ず解決方法は見つかります。


※ 写真中央のスライダを左右にドラッグして画像を比較できます
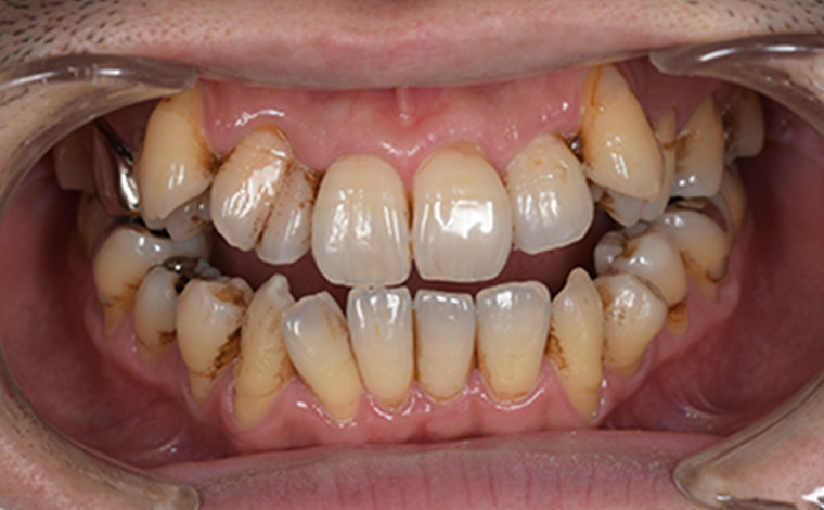
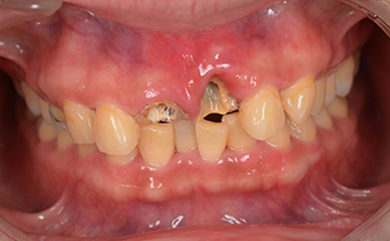
CASE 1
ボロボロの歯
デンチャーからインプラントへ

患者さんは70代女性。デンチャー(入れ歯)を入れていたが噛めない状態が続いていたためインプラントを挿入。約5か月の治療で自分の歯を取り戻す。
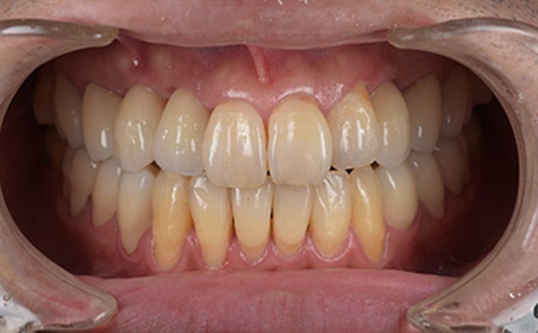
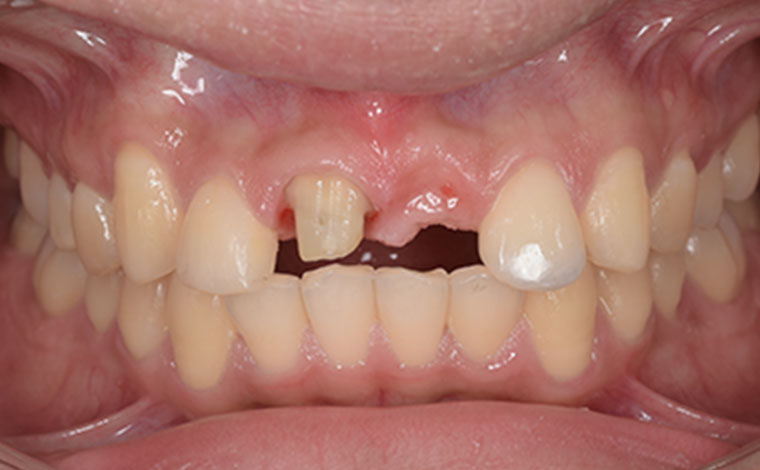
CASE 2
折れた差し歯
2本の差し歯をインプラントへ

40代女性の患者さん。差し歯だった上顎前歯2本が折れてしまい当院へ。インプラント治療を提案し、約3か月間で治療。美しい前歯を取り戻しました。
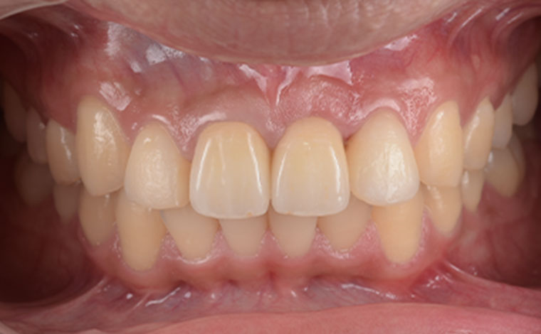
CASE 3
デコボコの歯並び
歪んだ歯列を美しい歯並びに

歯列の状態が悪く、歯の汚れも目立っていた患者さん。当院での治療を希望され来訪。歯列を整えつつ歯のメンテナンスも実施。
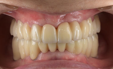
CASE 4
上顎全歯の欠損
奥歯を含めた包括治療

多数歯でインプラント治療を実施。通常だと1年以上かかる治療期間も半年程度で全ての歯の治療を終えることができました。
CASE 5
前歯の欠損
折れた前歯をインプラント治療

上顎の前歯が折れてしまった50代男性の患者さん。当院でインプラントとセラミック治療を実施。無事、美しく健康的な歯を取り戻しました。
CASE 6
上顎・下顎の欠損
合わない入れ歯からの治療

入れ歯を使用していた患者さん。長年合わない入れ歯の痛みに苦しんでおられました。当院でインプラント治療をおこない、噛める歯を手にしました。



■2002年3月
岡山大学歯学部卒業
■2002年4月
川添歯科クリニック勤務
■2009年3月
広島大学大学院医歯薬学総合研究科卒業、
歯学博士
■2016年4月
川添歯科クリニック 院長就任、現在に至る
院長
川添 祐亮
Dr Kawazoe Yu-suke
所属学会
日本補綴歯科学会、日本口腔インプラント学会


皆さん、こうおっしゃられます。
「こんな歯医者に早く出会いたかった」と。
川添歯科クリニックが患者さんから選ばれる理由

「必ず同意を得てから」治療します。
「必要な治療・提案」しか致しません。
①不安や希望の確認、②治療計画の作成、③納得いただけるまで説明。
この3つを必ず実施しています。
■「納得」できるまでご説明します

患者さんが、理解・納得されるまでしっかりと丁寧に説明します。同意のない治療スタートはあり得ません。
■「不必要な治療」は致しません

必要十分な治療しか行いません。当然のことですが、患者さんの意に反する不必要な治療は決して行いません。

オペ当日から「噛める」
抜歯即時インプラント(即時荷重)を採用
広島の歯医者「川添歯科クリニック」。当院が患者さんから選ばれている理由をご案内いたします。当院は川添親子40年のインプラント治療で辿り着いた「4S」という治療コンセプトを掲げています。「4S」とはSimple=シンプル、Small=低侵襲、Short=短期間、Safe=安全の4つを表し、いずれも治療を受ける患者さんにとって最良の治療とは何か?を専門家が熟考し導き出されたものです。当院では国内大手インプラントメーカーのインストラクターも務める院長、川添祐亮歯科医が責任をもってあなたの治療をおこないます。患者さんの痛みを軽減するために2STEP麻酔法、さらには専門の麻酔医がセデーション(静脈内鎮静法)をおこなう睡眠「無痛」治療を導入。歯医者に「不信感・不快感」があり通えなくなってしまった方もご安心いただけるよう納得されるまでとことん説明し、不要な治療は一切おこないません。またできるだけ「来院回数/治療期間」を少なくしたい方に喜ばれるオペ当日から「噛める」抜歯即時インプラント(即時荷重)を採用、院内に技工所を併設、歯科技工士が在籍しているのでスピーディーに被せ物を作成しています。広島市安佐南区古市3丁目に開業、JR「古市橋」駅から徒歩1分、国道183号線のバス停「下古市」から徒歩2分、県道277号線(旧国道)のバス停「古市橋」から徒歩1分。お車でお越しの方も駐車場完備、広島インターからも約5分です。

広島でインプラント治療をするなら安佐南区古市3丁目の歯医者「川添歯科クリニック」。当院のインプラントを始めとした治療をご紹介します。虫歯で歯がボロボロになってしまった方でも痛みを抑え、削る量を最小にした治療をおこなっています。歯周病で歯肉から出血している、歯が抜けそうな方でも徹底的な検査をおこない最良と考えられる治療を実施。入れ歯が合わない、噛めないという方やブリッジ治療を繰り返している方、保険治療を繰り返しへもAll-on-4(6)を始めとした、また「噛める歯」を取り戻す治療をご提案。インプラント治療は1本から数本、さらには上顎・下顎すべてなど患者さんの症状に合わせたインプラント治療をおこないます。JR「古市橋」駅から徒歩1分、国道183号線のバス停「下古市」から徒歩2分、県道277号線(旧国道)のバス停「古市橋」から徒歩1分。お車でお越しの方も駐車場完備、広島インターからも約5分です。

CUSTOMIZED TREATMENT
川添歯科クリニックの「オーダーメイド型」専門治療

「虫歯」で
歯がボロボロになった

「歯周病」で
腫れ・出血・グラつきが出る

「入れ歯」が
合わない・噛めない

「ブリッジ」
治療を繰り返している

「インプラント」で
歯の治療を考えている
歯が無い方、抜歯やブリッジ治療がイヤな方、できない方向け

「保険」で治療をし
徐々に歯が悪くなった方
SECOND OPINION
他院で治療を失敗した方 / 再発を繰り返している方

「インプラントが壊れた」
そんな方でも大丈夫です。
インプラントは入れてから10年~20年経つと
上物が割れたり、抜けたりする場合があります。
そんなインプラントを入れた後、
トラブルが起こってしまった方は
ぜひ一度、当院へご相談ください。
~ Flow ~
「ご相談」から「治療」までの流れ

初診のご相談

初診ではあなたのお悩み、理想、もしくは「こうしたい」「こうしたくない」等、何でもご相談ください。

検査/治療計画作成

各種検査を行い、患者さんに適切な複数の治療計画を立案します。

患者さんの同意

治療計画のご説明、そして治療費、治療期間、リスク等を含めすべてご説明します。

治療開始

患者さんから治療計画の同意を頂いた後は、治療計画に沿った治療を開始してきます。

工程ごとに現状をご説明

治療工程ごとに、どのような治療を行ったのか、どのような状態になったのかをしっかりご説明します。

メンテナンス

治療終了後はメンテナンスに移行します。
